SERVICES
OUR DENTAL SERVICES
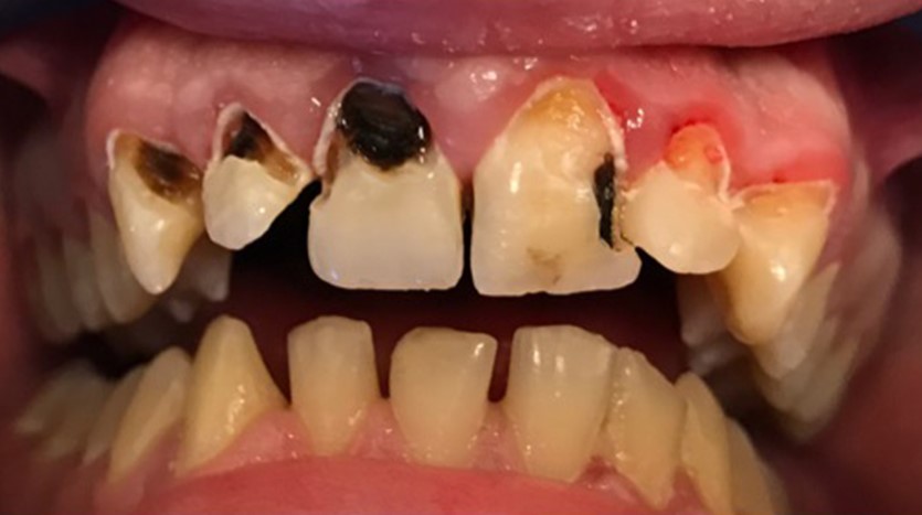
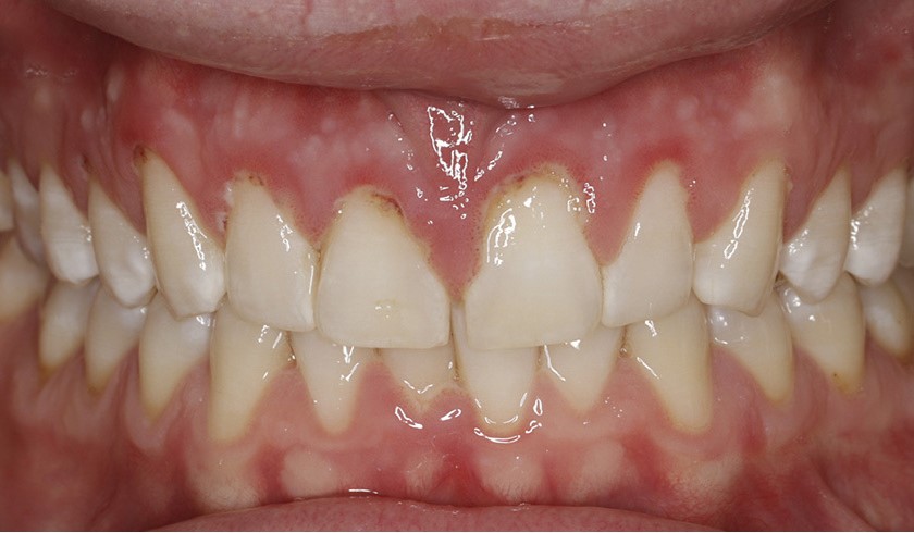
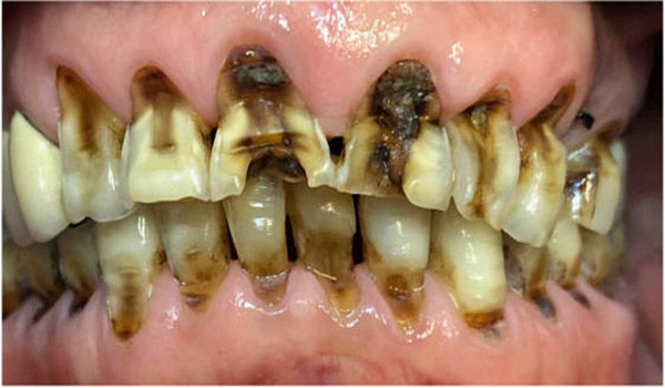
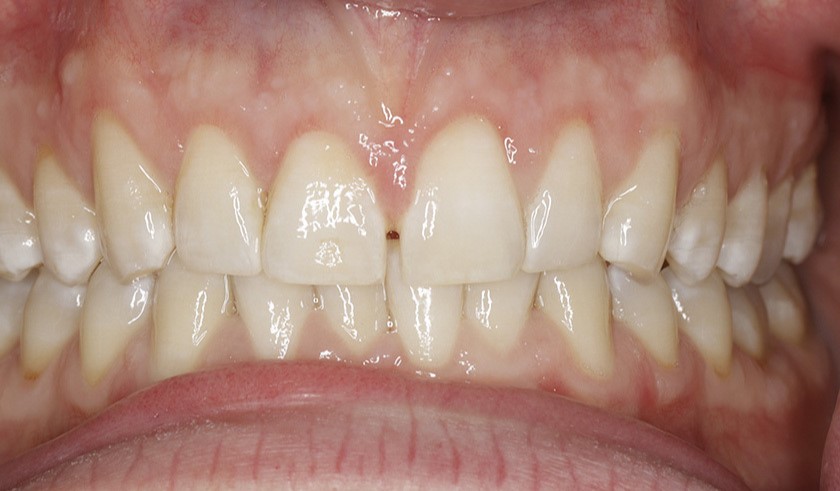
At Dantha Gudi Dental Clinic Mysore & Pandavpura, we offer a complete range of dental services designed to protect, restore, and enhance your smile. Our approach begins with thorough diagnosis and preventive care, including routine check-ups, professional cleanings, gum care, and early detection of dental concerns. By focusing on prevention and patient education, we help you maintain strong oral health and avoid complex treatments in the future.
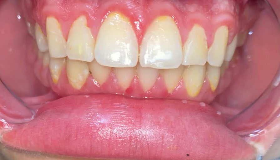
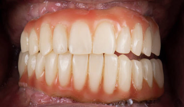
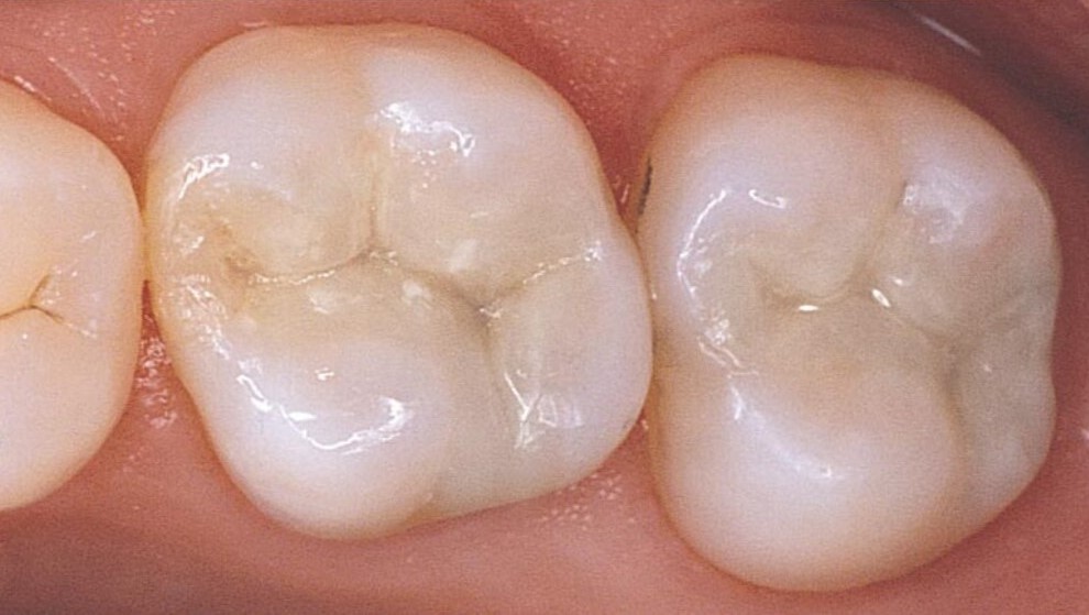
In addition to preventive care, we provide advanced restorative, cosmetic, and orthodontic treatments tailored to your individual needs. From tooth-colored fillings, root canal therapy, crowns, and dental implants to smile designing, teeth whitening, and braces, our clinic combines modern technology with precise clinical expertise. Our goal is to deliver comfortable, reliable, and long-lasting results that keep your smile healthy and confident for years to come.
At Dantha Gudi Dental Clinic Mysore & Pandavpura, we offer a complete range of dental services designed to protect, restore, and enhance your smile. Our approach begins with thorough diagnosis and preventive care, including routine check-ups, professional cleanings, gum care, and early detection of dental concerns. By focusing on prevention and patient education, we help you maintain strong oral health and avoid complex treatments in the future.
Comprehensive Dental Services
For The Whole Family
Root Canal Treatment

Crowns and Bridges

Implant Dentistry

Teeth Coloured Fillings

Braces Treatment

Clear/Invisible Aligners

Aesthetic Dentistry

Flexible Dentures

Laser Dentistry

Teeth Whitening & Polishing

Advanced Gum Surgeries

Full Mouth Rehabilitation

Make An Appointment
Opening Hours
Monday | 10am - 08pm
Tuesday |10am - 08 pm
Wednesday | 10am - 08 pm
Thursday | 10am - 08 pm
Friday | 10am - 08 pm
Saturday |10am - 08 pm
Quick links
- HOME
- SERVICES
- Dr. PRUTHWIN R
- Dr. NAMITHA GURU M
- ABOUT US
- CONTACT US
Clinic Address
Mysuru Branch
#4931, Vijaynagar 4th stage, 2nd phase, Mysuru 570032
Pandavpura Mandya
Ramesh complex, KRS road, Dollars colony, pandavapura, Mandya 571434
danthagudi@gmail.com
Call for Appointment
+91 9900425544
Pandavapura Branch
+91 8866554456
Made with 🤍 By Chanakya Solutions